Paralisi Cerebrale Infantile
Il professor Portinaro è uno dei chirurghi ortopedici più esperti per il trattamento della paralisi cerebrale a livello ortipedico (oltre 7000 interventi su pazienti affetti da questa patologia)
Che cos’è la Paralisi Cerebrale Infantile (PCI)?

La paralisi cerebrale infantile è un disturbo neurologico che colpisce postura e movimento. Si tratta di una disabilità che persiste nel tempo, ma non progredisce.
È determinata da un danno a carico del sistema nervoso centrale, verificatosi durante la sua fase di sviluppo.
Si tratta di un danno cerebrale che può verificarsi prima o dopo la nascita, ma anche tra il primo e il terzo anno di vita di un bambino. È una patologia che, oltre a disturbi motori, può portare anche altri problemi alla salute, coinvolgendo ad esempio la vista, l’udito e le capacità di parola.
La Paralisi cerebrale infantile colpisce un bambino ogni 500 nati. Oggi in Italia sono 50.000 i bambini affetti da questa patologia. L’incidenza è più elevata nei bambini nati con parto prematuro (in particolare sotto le 31 settimane di età gestazionale) e nei neonati di peso inferiore ai 1.500 grammi.
Il disturbo è definito persistente in quanto la lesione che si verifica a carico del cervello non guarisce in senso stretto. La patologia però non tende a peggiorare spontaneamente perché la lesione stessa si cicatrizza e non va quindi incontro a fenomeni degenerativi.
Ci sono diversi tipi di paralisi cerebrale:
- paralisi cerebrale spastica che è caratterizzata da un incremento del tono muscolare
- paralisi cerebrale discinetica. è una paralisi cerebrale non spastica che colpisce maggiormente i muscoli del tronco rispetto a quelli degli arti
- paralisi cerebrale atassica che coinvolge la coordinazione, l’equilibrio e la postura
- paralisi cerebrale ipotonica di carattere non spastico, che determina una riduzione del tono muscolare
- paralisi cerebrale mista che è di carattere sia spastico che non spastico
La Paralisi cerebrale infantile comprende un gruppo di disordini che determinano problemi motori ma le manifestazioni della malattia non sono fisse, e non riguardano solo le funzioni motorie. I sintomi, infatti, mutano nel corso del tempo e possono beneficiare di un trattamento riabilitativo o, nei casi più gravi, chirurgico.
Un video del professor Portinaro sulla paralisi cerebrale
Il video è in inglese con sottotitoli in italiano.
Quali sono le cause della Paralisi cerebrale infantile?
La Paralisi cerebrale infantile è causata da una lesione che si verifica nell’encefalo (cervello, cervelletto e tronco encefalico) del bambino durante la gravidanza o in prossimità del parto.
La lesione encefalica è causata principalmente da:
- una diminuzione totale parziale del flusso di ossigeno verso il bambino durante il travaglio o il parto
- un’infezione materna non trattata correttamente e trasmessa al bambino durante o dopo il parto
- ipoglicemia o birilubinemia (ittero) non trattate successivamente al parto.
La Paralisi Cerebrale si può prevenire?
Alcuni di questi fattori possono essere evitati facendo particolare attenzione sia durante la gravidanza che durante il parto, ma, sfortunatamente, non si può parlare di una prevenzione vera e propria, perchè la prevedibilità di questi fattori è molto bassa.
Come si riconosce? Quali sono i sintomi della PCI?
I bambini colpiti da Paralisi cerebrale infantile presentano, fin dai primi mesi di vita, un ritardo neuropsicomotorio. In pratica dimostrano difficoltà a raggiungere un normale sviluppo neuromotorio nei tempi adeguati.
Generalmente è coinvolto tutto il corpo ma ci può essere una intensità differente nei diversi distretti del sistema muscoloscheletrico.
A seconda del grado e del tipo del disturbo motorio e delle capacità motorie, è possibile prevedere a grandi linee, lo sviluppo motorio futuro del bambino. In questo modo è possibile individuare le principali cure che il piccolo paziente dovrà seguire per tutta la vita.
I sintomi della paralisi cerebrale possono essere molto diversi e di solito vengono notati prima che un bambino compia 2 anni. Però possono talvolta verificarsi anche prima dei 3 mesi.
Solitamente i genitori se ne accorgono perchè il loro bambino è in ritardo nel raggiungere alcuni stadi dello sviluppo come stare seduto, gattonare o camminare.
A seconda della regione del cervello colpita, i sintomi possono essere differenti. Alcune persone hanno un mix di sintomi.
I sintomi più comuni di paralisi cerebrale spastica comprendono:
- Incremento del tono muscolare (Ipertonia)
- Anomalie nel movimento e nella posture (le braccia si muovono verso i lati, le ginocchia si incrociano o si toccano, le gambe si mettono a “forbice” nei movimenti)
- giunture strette
- debolezza muscolare
- perdita di movimento in un gruppo di muscoli.
La paralisi cerebrale spastica rappresenta una “contraddizione in termini” perchè abbiamo una lesione cerebrale, i muscoli stimolati in modo non corretto, spastici (ipertonici) e allo stesso tempo paralizzati.
Esiste una diagnosi per la paralisi cerebrale?
Un esame neurologico completo è importante per diagnosticare la Paralisi cerebrale infantile. Possono essere effettuati alcuni dei seguenti esami esami clinici:
- visita pediatrica presso un neurologo e un ortopedico
- elettroencefalogramma (per determinare la presenza di un uno schema neurologico non corretto durante specifiche simulazioni)
- Risonanza magnetica della testa
Una volta diagnosticata, il paziento dovrà sottoporsi a ulteriori esami di follow up riguardanti la vista, l’udito, la capacità di parola.
Esiste un trattamento per la cura della paralisi cerebrale?
Purtroppo non esiste una cura per la paralisi cerebrale. È fondamentale approcciare la malattia in modo multidisciplinare per definire delle strategie terapeutiche mirate e condivise da tutti gli specialisti coinvolti (neurologo, ortopedico, gastroenterologo, fisioterapista, …)
Solo in questo modo è possibile aiutare questi bambini a migliorare la loro qualità di vita.
L’obiettivo principale del trattamento è soprattutto quello di aiutare la persona a essere il più indipendente possibile. Il trattamento si basa sui sintomi della persona e sulla necessità di prevenire le complicanze. Fisiatra, fisioterapista, neuropsichiatra diventano figure fondamentali nella vita e nello sviluppo del bambino.
Anche la chirurgia riveste un ruolo chiave in genere nella vita di un bambino con Paralisi cerebrale infantile: in media un bambino affronta tre interventi chirurgici, in relazione alla gravità della malattia e all’inserimento nel percorso medico, tanto che si parla spesso di Hospital Birthday Syndrome perchè il bambino viene solitamente ricoverato e sottoposto a intervento chirurgico in media una volta all’anno.
Le soluzioni chirurgiche possono essere necessarie in alcuni casi per migliorare la qualità di vita. Gli interventi possono ad esempio migliorare:
- il contro del reflusso gastroesofageo
- ridurre il dolore e la spasticità (tagliare determinati nervi dal midollo spinale per alleviare il dolore e la spasticità muscolare)
- curare le contratture
- inserire tubi per l’alimentazione
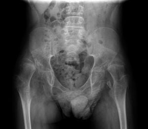
La gestione clinica dei pazienti che sono affetti da paralisi cerebrale è di tipo multidisciplinare e può richiedere interventi con livelli crescenti di invasività fino ad arrivare a procedure chirurgiche (epifisiodesi temporanee, allungamenti miotendinei, osteotomie) finalizzate al miglioramento dell’autonomia e della qualità di vita del paziente.
La terapia fisica, occupazionale, l’aiuto ortopedico o altri trattamenti possono poi aiutare nello svolgimento delle attività quotidiane.
Nei casi di lussazione inveterata dell’anca, il team del Prof. Portinaro esegue anche protesi d’anca con accesso anteriore su pazienti di ogni età grazie all’innovativa tecnica mini invasiva AMIS (Anterior Mini Invasive Surgery). Si tratta di Protesi Anca di Ultima Generazione, un intervento sicuro, rapido (35 minuti) e con recupero veloce (dopo soli 3 giorni, si può tornare a casa autonomamente, senza bisogno di trasfusioni o drenaggi).
LEGGI ANCHE Paralisi Cerebrali Infantili Quando e Come Intervenire con la Chirurgia Precoce e “su misura”
Aspettative di vita
Grazie alle Unità di Terapia Intensiva Neonatale (Pediatric Intensive Care Unit) ora è possibile mantenere in vita molti dei bambini nati prematuri. Inoltre grazie alle più recenti procedure chirurgiche e anestetiche i pazienti affetti da Paralisi Cerebrale sopravvivono anche oltre i 55/65 anni, in base anche alla gravità della patologia.
Perchè scegliere il Professor Portinaro?
Il professor Portinaro è uno dei chirurghi ortopedici più esperti al mondo per il trattamento della paralisi cerebrale.

Ha effettuato più di 7000 interventi su bambini affetti da questa patologia ed è anche il fondatore e direttore scientifico di una organizzazione non-profit che si occupa di supportare le famiglie con bambini con paralisi cerebrale e altre patologie neuromotorie: Fondazione Ariel
Il professor Portinaro e il suo team in Humanitas, grazie anche al supporto di Fondazione Ariel, dedicano una larga parte del loro lavoro alla ricerca scientifica per scoprire trattamenti sempre più innovativi ed efficaci nel trattamento di queste patologie.
LEGGI ANCHE Paralisi Cerebrali Infantili Chirurgia Tardiva
SCOPRI LA FONDAZIONE ARIEL La stella guida per i bambini affetti da disabilità neuromotorie
Pubblicazioni del Professor Portinaro sulla Paralisi Cerebrale Infantile
Elenchiamo di seguito le principali pubblicazioni del Professor Nicola Portinaro sull’argomento:
- Guided Growth of the Proximal Femur for the Management of Hip Dysplasia in Children With Cerebral Palsy.
- Can we prevent hip dislocation in children with cerebral palsy? Effects of postural management
- BT Treatment for Limb Spasticity in Childhood Cerebral Palsy
- Tendon structure and extracellular matrix components are affected by spasticity in cerebral palsy patients.
- The effects of femoral derotation osteotomy in cerebral palsy: a kinematic and kinetic study.
- Expression profiling of genes involved in collagen turnover in tendons from cerebral palsy patients.
- D.D.S.H.: developmental dysplasia of the spastic hip: strategies of management in cerebral palsy. A new suggestive algorithm.
- Gene expression profile of extracellular matrix of tendons in cerebral palsy.
- Bilateral hip surgery in severe cerebral palsy a preliminary review.